View Ards Ct Pictures

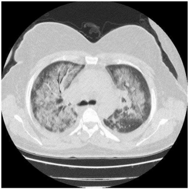
View Ards Ct Pictures. Introduction — acute respiratory distress syndrome (ards) is an acute, diffuse, inflammatory form of lung injury that is associated with a variety of etiologies. Definitions of acute lung injury (ali) and acute respiratory distress syndrome (ards) have varied over time.

Noncardiogenic Pulmonary Edema Imaging: Practice ...
Noncardiogenic Pulmonary Edema Imaging: Practice ... from img.medscapestatic.com
Care guide for ards (acute respiratory distress syndrome). Definitions of acute lung injury (ali) and acute respiratory distress syndrome (ards) have varied over time. An expanded rationale, justification, and supplementary material.

Ards was first described by ashbaugh and petty in 1967 in a case series of 12 icu.

Survey of german ards centers and scientific l. Ards can be life threatening. Acute respiratory distress syndrome (ards) is a rapidly progressive disease occurring in critically ill patients. Care guide for ards (acute respiratory distress syndrome).


Next Post Previous Post
No Comment
Add Comment
comment url